こんにちは😊
中央区日本橋人形町にある歯医者
人形町駅前クロス歯科・矯正歯科 ブログ担当です♪
今回はガミースマイル治療についてお話します😊

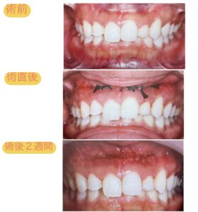
こちらはガミースマイル治療をされた患者様(20代女性)の症例です。
担当医:齋藤理事長
ガミースマイルとは?

笑ったときに歯ぐきの露出が3mm以上見える状態のことを「ガミースマイル」といいます。
ガミースマイルはチャームポイントと捉えられることもありますが、大きく見える歯ぐきがコンプレックスの原因となってしまうこともあります。
その為コンプレックスに感じてしまう方は、見た目が気になり、思いきり笑えないと感じることもあります。
当院では、歯と歯ぐきのバランスを整えることで、自然で美しい笑顔を目指した治療を行っています😊
◆ガミースマイル治療の流れ
①まずはカウンセリングをさせていただきます
②ガミースマイル治療オペ
余分に見えている歯ぐきを、必要な範囲だけ切除し整え、
歯ぐきのラインを美しく仕上げます。
また、切除したところは、傷口を安定させるために丁寧に縫合します。
③そして術後2週間後に縫合した部分の糸取りと消毒を行います。

◆ガミースマイルになる原因は?
・骨格の大きさや歯並びが原因
・口周りの筋肉や上唇が原因
・歯ぐきや歯の大きさが原因
◆ガミースマイルを放置するデメリットはあるの?
・コンプレックスを持ちやすい
・口腔内の環境が悪化する
口呼吸になりやすく、口腔内が乾燥しやすくなります。
また、乾燥すると唾液の量が減って、口腔内の環境が悪化します。
唾液には自浄作用や、細菌の増殖を抑える抗菌作用があります。
そのため口臭の原因にもなります。
🌼こんな方におすすめ🌼
☆歯ぐきの露出を抑えたい
★口元のバランスを整えたい
☆人前で思いきり笑いたい
★笑顔に自信を持ちたい
☆美容外科ではなく歯科医院で治療を受けたい
🌼治療について🌼
治療内容や範囲は、お口の状態を確認したうえで
患者様一人ひとりに合わせてご提案させていただきます。
また、不安や疑問がある場合は、事前にしっかりご説明いたしますのでご安心ください☺️
🌼ガミースマイルオペの効果について🌼
笑った時に見える歯ぐきの面積をオペによって減らすことで、
ガミースマイルを改善することができます。
また、手術後は上唇が上がりすぎる状態が抑制されるため、思いっきり笑っても歯ぐきが見えすぎることはありません。そのため自然な笑顔を作ることができます。
そして歯茎の露出量が減ると、口腔内が乾燥しにくくなるため、歯肉炎、歯周炎、虫歯、口臭の予防に役立ちます。
※個人差があります。
🌼ガミースマイル治療のリスク、副作用、合併症🌼
ガミースマイル治療には、想定されるいくつかのデメリットがあります。
そのため少しでも気になることは遠慮なくご質問ください。
・手術後2~3日は出血する事があります。
・内出血が生じる場合があります。
個人差はありますが、通常2週間程度で改善します。
・一時的に口が開けづらく、お食事が取りにくくなります。
・上唇から目の下辺りに腫れが生じる場合があります。
・手術部位およびその周辺の感覚が一時的に鈍くなることがあります。
・妊娠中、授乳中の方は、施術が出来ません。
※ガミースマイル治療に適応にならない場合もございます。
育芯会ではしっかりとカウンセリング・術前の説明を行っています。
少しでも気になることは遠慮なくご質問、ご相談ください。
☆術後2時間程度は麻酔が効いているのでご飲食はお控えください。
★処置後は口周りに固定テープをはり、3日間貼った状態でお過ごしいただきます。
場所は鼻の下、口の両サイドの計3ヶ所です。
☆24時間は強いうがいを控える
治療後2~3日は血の味がすることもありますが傷の治りが遅くなるので、必要以上にしないでください。
もし、血の味が気になる時は唾と一緒に吐き出す程度にしてください。
★歯磨きは、手術患部を避けて行ってください。
また、指や舌、歯ブラシで触ると傷の治りが遅くなります。
☆骨格の影響により後戻りする可能性があります。
また、その場合は半年間の再処置保証があります。返金はございません。
★人によっては稀に傷口から細菌が入って膿んでしまい感染症を引き起こす
可能性があります。
そのため感染症の予防として、術後に抗生剤の飲み薬をお渡しします。
☆赤く腫れが出たり、白い膿が出た場合は感染症の可能性があるのでクリニックへご連絡ください。
★現在、服用しているお薬がある方、以前麻酔や薬を服用して体調が悪くなった方は、処置前に必ず担当歯科医師にお伝えください。
☆治療当日は、血圧の上がること(入浴・飲酒・激しい運動)は控えてください。
出血や痛みの原因になります。
★喫煙も控えてください。
傷の治りが遅くなる原因になります。
※処方された薬は、必ず指示通りに飲んでください。
また、痛くないからもう飲まない等の勝手な判断は、おやめください。
※人間の顔や体は左右非対称の上、筋肉のつき方や骨格は人それぞれ違います。
丁寧なカウンセリング・施術(オペ)を心掛けておりますが、
必ずしも思い通りにならず以下のリクスが考えられます。
・細菌やウイルス感染
・血腫
・出血
・疵痕
・ケロイド
・色素沈着
・アレルギー
・微妙な左右非対称
・大きく口を開けた時に歯茎の露出の可能性
育芯会では、全ての患者様に安心して診療を受けていただけるよう、感染管理の研修を行い、
「正しい感染管理システム」、「常に清潔なクリニック」を心がけています。
今後も徹底した感染管理を行っていきますので、安心してご来院下さい。
皆さまのご来院心よりお待ちしております💓
◆東京流通センター歯科クリニック◆
◆ハートリーフ歯科クリニック東大島◆
◆ビーノ御徒町歯科クリニック◆
◆ココロ南行徳歯科クリニック◆
◆人形町駅前クロス歯科・矯正歯科◆
http://umygame4.xsrv.jp/ningyocho/







